Antes y después caso de ortodoncia
2 de marzo de 2026
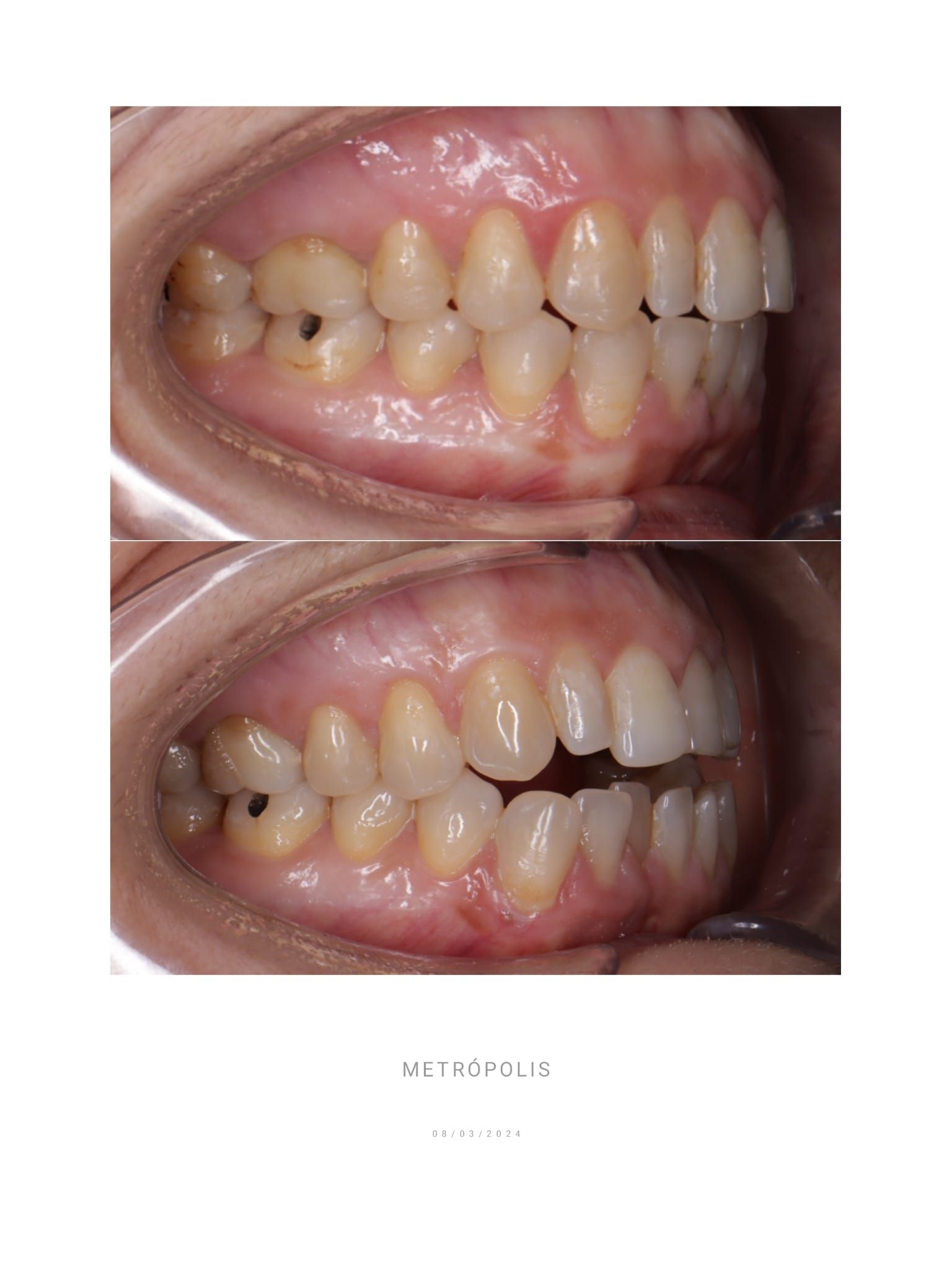
Ortodoncia: alineación y salud para tu sonrisa
La ortodoncia no solo mejora la estética de tu sonrisa, sino que también corrige la mordida y previene problemas funcionales. Existen diferentes opciones según tus necesidades: brackets metálicos o estéticos y alineadores invisibles.
Con un plan personalizado, la ortodoncia ayuda a alinear los dientes, mejorar la masticación y proteger la salud dental, ofreciendo resultados duraderos y una sonrisa más armoniosa.


