Antes y después caso de implantes
2 de marzo de 2026
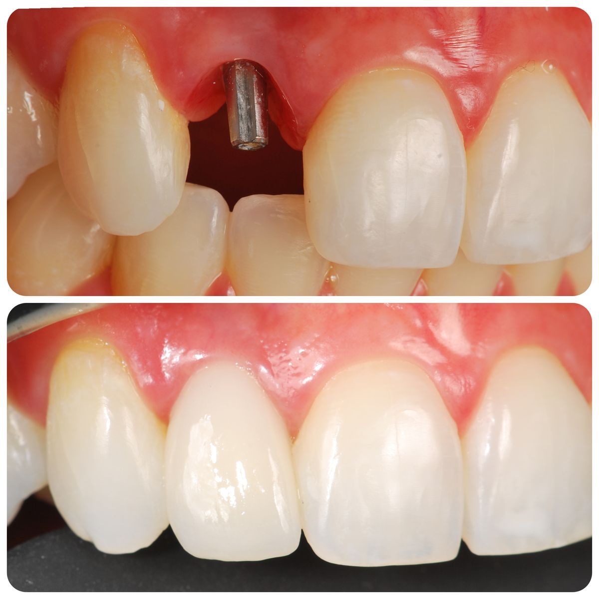
Implantología: recupera tu sonrisa y funcionalidad
La implantología dental es la solución ideal para reemplazar dientes perdidos, devolviendo tanto la estética como la función de la boca. Los implantes actúan como raíces artificiales y permiten colocar desde un diente unitario hasta prótesis completas, fijas o removibles, adaptadas a cada paciente.
Con materiales de alta calidad y técnicas avanzadas, los implantes ofrecen estabilidad, durabilidad y un resultado natural, mejorando la masticación, el habla y la confianza en la sonrisa.











